"终于退烧了!"20岁的小李(化名)在经历了20多天的不明原因发热后,终于在南方医科大学中西医结合医院风湿病科找到了病因,并成功得到了治疗,重新回到了正常的生活轨道。
这场突如其来的发热,让他的生活陷入了困境。小李的发热以午后为主,体温最高达39.2℃,伴随着全身肌肉酸痛和疲乏。头痛难忍的他,曾在当地多家医院就诊,被诊断为上呼吸道感染。尽管接受了"对乙酰氨酚片、奥司他韦、阿奇霉素、头孢、利巴韦林"等药物治疗,发热依旧不退,甚至出现了胸闷和右上腹隐痛的症状。
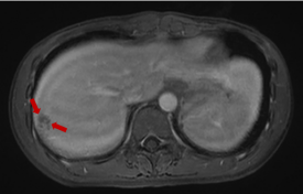
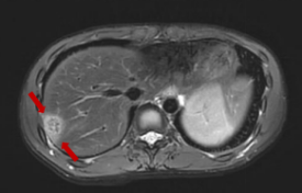
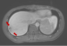
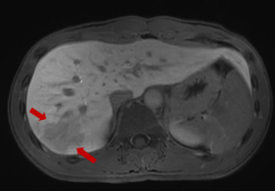
在当地医院的血常规检查中,小李的嗜酸性粒细胞明显升高,这引起了南方中西医风湿病科负责人陈恩生的警觉。结合他曾有食用淡水鱼生史,陈恩生主任开始怀疑这可能不是普通的上呼吸道感染。追问患者病史得知,今年10月小李曾进食一小碟生鱼片。入院查血常规提示嗜酸性粒细胞百分比大于40%,转氨酶明显升高,CT检查提示肝右叶占位性病变。上腹部磁共振增强提示肝右叶包膜下多发液性信号。肥大反应提示丙型副伤寒1:320,考虑沙门菌感染,这是一种由沙门氏菌属细菌引起的常见食源性疾病,可以通过受污染的食物或水传播。



磁共振显示:肝右叶包膜下见多处团片状、楔形病灶,大者位于S7段,范围约2.7cm×1.8cm,部分病灶内见门静脉穿行,门脉血管无阻塞或异常征象,边界欠清。提示:肝右叶包膜下多发异常信号。
陈恩生主任介绍,患者病原微生物NGS检查(病原微生物宏基因组检测)揭示了真正的"元凶"——华支睾吸虫阳性,包虫病IgG抗体阳性。这意味着小李患上了肝吸虫病,也称为华支睾吸虫病,一种由肝吸虫寄生在人体肝胆管内引起的寄生虫病。
肝吸虫病的病因通常是由于食入含有囊蚴的鱼而被感染。肝吸虫的生活史包括多个阶段,终宿主为人及肉食哺乳动物,第一中间宿主为淡水螺类,第二中间宿主为淡水鱼、虾。

肝吸虫病临床表现包括急性期的寒颤、高热、食欲不振、恶心、乏力、腹胀、腹痛、腹泻和肝区压痛等症状,并伴有肝脏肿大、黄疸及白细胞总数和嗜酸粒细胞增多等。慢性期症状可能包括消化不良、肝肿大、上腹隐痛、疲乏以及精神不振等。

药物治疗是肝吸虫病的主要治疗手段,常用药物有吡喹酮和阿苯达唑,能有效杀死肝吸虫及其虫卵。入院三天后,小李的嗜酸粒细胞迅速下降至正常范围。"肝吸虫病对症治疗包括止痛药治疗疼痛和腹泻等症状。在罕见情况下,如发生胆管炎等严重并发症,可能需要外科手术。"陈恩生主任介绍。
预防肝吸虫病关键注意四点
预防肝吸虫病的关键在于改进烹调方法和饮食习惯,不吃生食,不饮生水。此外,注意生熟分开,避免使用切过生鱼的刀、砧板切熟食物,以及保持个人卫生,都是预防肝吸虫病的重要措施。
"小李的故事提醒我们,食源性寄生虫病可能就在我们身边。通过提高食品安全意识和改善饮食习惯,我们可以有效地预防这类疾病的发生。"陈恩生说。
医学指导专家:

国医大师禤国维教授传承弟子,中国中西医结合学会风湿类疾病专业委员会委员、广东省中医药学会风湿病专业委员会常委、广东省中西医结合学会骨质疏松专业委员会常委、广东省中西医结合学会风湿病、痛风专业委员会委员、广东省精准医学应用学会自身免疫病分会委员。国家自然科学基金、广东省基础与应用基础研究基金评审专家。主持国家自然科学基金、广东省自然科学基金等科研课题6项;参与省部级科研基金、临床研究项目10余项;发表期刊论文10余篇,参编专著3部,获国家实用新型专利1项。
医疗特长:类风湿关节炎、强直性脊柱炎、系统性红斑狼疮、痛风、银屑病关节炎、骨关节炎、干燥综合征、硬皮病、白塞氏病、皮肌炎等风湿病的中西医结合诊疗;熟练应用关节微创针刀镜手术诊疗难治性关节炎和免疫吸附技术治疗系统性结缔组织病。

曾在意大利比萨大学医学院风湿病诊疗中心做访问学者;曾在北京大学第一医院、中国人民解放军南部战区总医院进修学习。主持(参与)省部级课题6项,发表论文9篇,其中第一作者3篇,SCI收录3篇。参与临床研究项目 10余项,作为副主编参编《内科常见病临床诊治概要》、《内分泌疾病临床诊疗思维与新发展》等专著2部。
中国中西医结合学会风湿类疾病专业委员会青年委员、中国民族医药学会风湿病分会理事、中国中西医结合学会风湿类疾病专业委员会委员、广东省保健协会风湿免疫分会常务委员、广东省中西医结合学会风湿类疾病专业委员会委员、广东省中西医结合学会痛风专业委员会委员、广东省医师协会风湿免疫医师分会风湿病相关肺血管/间质病专业组委员。
医疗擅长:擅长中西医结合诊治类风湿关节炎、银屑病、皮肌炎、干燥综合征、痛风、系统性红斑狼疮、骨关节炎、强直性脊柱炎等各种疑难风湿病。国内最早开展关节腔内光动力滑膜消融术治疗顽固性类风湿关节炎,国内较早开展微创关节针刀镜手术治疗难治性类风湿关节炎、痛风(石)和骨性关节炎等;擅长应用免疫吸附技术治疗各类结缔组织病。
文/袁毅 朱钦文