医院总机:020-61650000
南方医科大学中西医结合医院
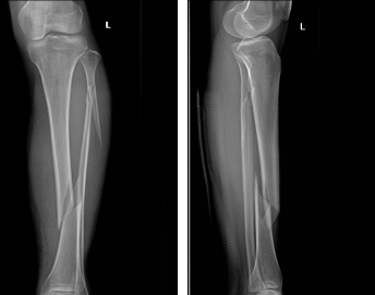
患者李某,女,40岁,因跌倒致左小腿疼痛、活动受限伴流血1小时余于入院,入院诊断:左胫腓骨骨折,患者X线提示:左腓骨上段、左胫骨中下段骨折。骨折移位明显,断端呈螺旋型,骨折不稳定,有手术指征,在我院行左胫骨骨折切开复位+钢板螺钉内固定术。
术前X线示:
术后X线示:
手术前X线对比,骨折复位良好,对位对线满意,患者下肢力线恢复,对于创伤不稳定骨折,有手术指征的,需尽早手术复位以及坚强合理的内固定装置固定,有利于骨折的早期愈合。
逐梦扬帆 共绘精彩跳绳比赛暨海珠湖健步走活动
美翻了!你见过用中药材作的画吗?
分享到微信朋友圈