患者邱某,女,75岁,因反复左膝关节疼痛10余年入院,患者10余年前无明显诱因出现左膝关节疼痛,上下楼梯明显,未予重视,未行系统治疗,左膝关节疼痛逐步加重,左膝关节内翻畸形,行走约100米出现疼痛加重需休息,日常生活自理困难。
术前X片:

此病情困扰邱阿婆多年,严重影响日常生活,在我院住院期间,严格评估手术风险,精心准备手术,行左膝人工关节置换术,术后中西医结合诊治以及科学功能锻炼,术后1周可自行下地活动,术后2周可自行上下楼梯,术后1月可自行去市场买菜,日常生活基本可以自理。
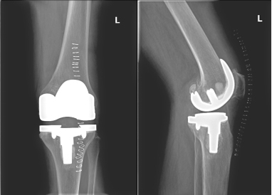
术后X片:

膝关节置换术是中治疗严重膝关节功能障碍的新技术,可以非常有效的根除晚期膝关节疼痛,纠正关节畸形,极大的提高病人的生活治疗,主要是针对严重的膝关节疼痛、不稳、畸形、日常生活活动严重障碍,经过保守治疗无效或效果不明显的老年患者,如类风湿关节炎、骨性关节炎、创伤性关节炎等引起的严重关节功能障碍,我院骨伤科通过中西医结合诊疗,手术以及术后康复相结合,动静结合、筋骨并重的诊疗思维,通过精细的手术以及科学的康复训练方法,可有效的减少手术并发症以及更快、更有效的恢复关节功能,最大限度的改善患者生活质量。