“以前听说膝骨关节炎需要手术做全膝关节置换,要不就长期吃药,没想到还能做微创,效果好还省了不少钱”患者彭女士(化名)说。
据了解,今年79岁的彭女士,近半年来膝关节疼痛、无法正常行走,曾多次在各大医院就诊,予口服消炎止痛药等保守治疗,症状都未见缓解,严重影响了生活质量。

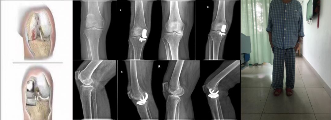
而后,彭女士在社区科普讲座上,听到南方医科大学中西医结合医院骨伤科黄刚主任说膝骨关节炎能够进行微创手术,于是慕名前来就诊。入院后,我院骨伤科主任黄刚经过仔细查体,结合相关辅助检查后,制定了“膝关节单髁置换”手术方案,术后彭女士膝关节疼痛基本缓解,术后第二天已经可以下地正常行走。
黄刚主任表示,彭女士是膝关节其中一个间室的软骨磨损,所以才会出现行走畸形、疼痛难忍,严重影响了生活质量。当保守治疗无效时,只有将损坏的软骨重新用“高科技组合”进行替换,恢复崭新的关节间室。“高科技组合”主要有这几种:
1、胫骨高位截骨术,就像牙齿不齐,产生畸形引起疼痛,通过矫形就能够完全治疗。
2、单髁置换术,就像是牙坏了一部分,只需要把坏的部分修理好,类似补牙。
3、全膝表面置换术,则是牙全坏了,只能把牙齿全部拔掉,重新种牙。
而彭女士做的单髁置换手术,体现了微创理念,具有恢复快,住院时间短,住院成本比较低等优势。术中操作相对更精细,去的骨量相对少,切口更小,术中出血少,做完手术以后感染率降低。
单髁手术完整保留了对侧半月板、前后交叉韧带,患者本体感觉保留比较好,在人行走或运动中,对自己的外知觉、力量大小、体位变化能进一步感觉到,很多患者做完手术都忘记自己做过手术。
那么,膝骨关节炎到底是怎样的呢?
骨关节炎是一种严重影响患者生活质量的关节退行性疾病,而膝骨关节炎在临床更为常见,所谓人老先老腿,其主要表现为膝盖红肿痛、上下楼梯痛、坐起立行时膝部酸痛不适等。
也会有患者表现肿胀、弹响、积液等,如不及时治疗,则会引起关节畸形,残废。是一类对个体和社会损害较大大的骨关节炎,是老年人的杀手之一。
膝骨关节炎的高发人群
黄刚主任表示,膝关节炎是一种关节的退行性病变,中老年人、肥胖人群和患糖尿病、痛风等内分泌疾病的人群是膝关节炎的高发人群,同时因为膝关节是负重比较大的关节,不正确的健身运动,如长时间暴走、爬楼梯、爬山等活动也会导致关节损伤,让膝关节超重负担进而患膝关节炎。
黄刚主任提醒:日常生活中,要控制体重;尽量避免反复下蹲和长期下跪的动作;避免过量爬山和上下楼梯;可加强腿部肌肉训练,增加肌力,改善膝关节稳定性。
在运动中,感膝关节不适,要立即停下来,了解自身极限,量力而行,坚持适度合理运动。
