来自广东肇庆14个月大的小蒙(化名)不幸被6斤重大容量塑料周转筐砸中脑袋,在送医院检查时意外发现颅内巨大肿瘤。近日,南方医科大学中西医结合医院神经外科为小蒙实施了“枕下后正中入路第四脑室巨大肿瘤切除术”,成功切除肿瘤,小蒙妈妈才长舒了一口气,“他很勇敢,很坚强,我们都害怕他挺不过了,现在最危险的都度过了。”
医生:“等下别走,你们要有心理准备”,患者妈妈:“我脚都软了”
3月15日下午,小蒙妈妈在自家杂货店搞卫生时,14个月大的小蒙坐在BB椅上玩耍。意外发生了,三个大容量塑料周转筐约6斤重从货架上掉了下来,不偏不倚地砸在小蒙的脑门上。小蒙突然“哇哇”大哭起来,妈妈连忙把嚎啕大哭的小蒙送至当地医院接受检查。“等下别走,你们要有心理准备。这次外伤没有给小蒙造成明显伤害,只是头皮肿而已,但是发现后脑有个巨大肿瘤。”颅脑磁共振检查结果出来后,医生赶紧喊住小蒙父母。

砸中小蒙头部的大容量塑料周转筐
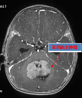
“当时我脚都软了,我很害怕,心里难受得不得了,自己好像没有了半条命。回去一个晚上都睡不着。”小蒙妈妈讲述起当天的情景时泪流满面。当地医院颅脑磁共振检查竟然发现小蒙脑内长了一个近6厘米的巨大髓母细胞瘤,由于当地医院不具备治疗条件,医生建议赶紧送往省城大医院手术。

为寻求进一步治疗,3月18日小蒙父母来到广州南方医科大学中西医结合医院。
神经外科联合多科室会诊为生命接力,小蒙如何熬过难关?
“在比较短的时间,我们就给小蒙做了术前的准备,进行了多学科联合会诊。”神经外科主任陈陆馗说,“小蒙患的是恶性程度最高的髓母细胞瘤,体积很大,严重压迫脑干和小脑,已经导致明显的梗阻性脑积水。如果没有尽早发现并送医治疗,随着脑积水的进行性加重,颅内压越来越高,小孩随时都有可能突发呼吸停止、昏迷,严重时导致死亡。因此必须尽早实施开颅切除肿瘤,解除脑积水,降低颅内压力,才能挽救小蒙的生命。
“这是我院史上年龄最小的手术患儿,由于神经系统及心肺等重要器官的发育还未完善,进行麻醉和开颅手术难度极大、风险极高,术后重症管理要求极高,对主刀医生的技术和心理都是不小的考验。”陈主任解释道,“虽然神经外科团队对于小儿的开颅肿瘤切除手术已具有非常丰富的临床经验,但小蒙后颅窝容积比较小,髓母细胞瘤直接堵塞第四脑室,同时压迫脑干,肿瘤在桥脑和延髓的背侧,对桥脑和延髓的压迫很厉害。”为了万无一失、最大限度的确保患儿的手术安全,神经外科联合麻醉科、重症医学科(ICU)等进行多学科会诊讨论,做好围手术期准备,最大程度保障手术安全和疗效。
充分准备+实时监测,精准麻醉为手术保驾护航
麻醉科/手术室宁雪主任表示:“孩子年龄越小,麻醉风险越高,对于麻醉管理非常困难。因为小孩不是一个小版的成年人,他各方面的机能发育还不完善,耐受各种异常状况的能力比较低。比如对液体的要求非常精准,尤其是术中造成出血的状况,需要医生马上进行评估,及时进行补充。另外体温管理也很重要,如果长时间造成低体温,会对生理造成一系列的影响,甚至影响到他术后的恢复情况。”考虑到小孩才14个月,且是第四脑室的巨大肿瘤,手术难度大、时间长、创伤大,术中可能出血较多,宁雪主任对此提前做好了非常充足的准备。
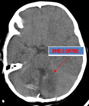
3月29日,神经外科陈陆馗主任团队为小蒙实施“枕下后正中入路第四脑室巨大肿瘤切除术”,手术进行了近9小时后顺利完成,术后小蒙被送往ICU进行监护。

精细方案+专人守护,ICU助患儿走出鬼门关
“患儿术后重症监护是一次重大的挑战。”重症医学科李宙主任坦言,“患儿年纪小,手术时间长,器官功能耐受能力差,进入ICU后检测患儿存在内环境紊乱、少尿等情况。在治疗期间,患儿也曾一度出现血压、血氧饱和度急剧下降的紧急情况。”

重症医学科为小蒙制定了精细化的治疗方案,严密监测各项指标的变化。气道管理、感染控制、液体管理、器官功能支持、内环境管理、术后镇静镇痛、营养支持、治疗用药等每一项都是难度较大的工作,而每一项生命指标的变化均有可能危及患儿的生命安全。重症医学科医护人员除了精心制定监测、治疗措施外,还安排24小时专人陪伴。在医护人员的悉心治疗以及陪护下,2天内,患儿逐渐好转,逐渐脱离呼吸机,拔除气管插管,器官功能逐渐恢复,开始进行肠内营养,顺利转出ICU。
“从ICU出来后,小蒙转到神经外科重症监护病房,已经可以完全独立进食、喝奶,肢体活动也恢复正常,和父母有一定的交流。4月16日,小蒙已顺利出院。接下来要进行全身化疗,预防肿瘤细胞在中枢神经系统包括脑和脊髓的扩散” 陈陆馗说。
神经外科陈陆馗主任在重症监护病房了解患者情况
婴幼儿高发肿瘤有什么症状?这几点父母必须警惕!
此前,陈陆馗在为小蒙做体格检查时,就发现小孩生长发育虽然正常,但完全不能独立行走。在追问小蒙父母后,才得知小蒙在11个月至12个月大的时侯,能独立行走十来米,但近两个月来逐渐不能行走,甚至连基本的站立都做不到。那时恰逢年关,小蒙父母忙于店里的生意,没有重视小蒙身体的变化。
陈陆馗提醒:“髓母细胞瘤是儿童神经系统肿瘤中最高发的肿瘤,5-9岁的小孩是高发人群。婴幼儿因为不会表达,较难发现其神经系统症状,所以家长更应在日常活动中密切关注孩子细微的变化。”
髓母细胞瘤最早期的症状通常是小脑和颅高压的症状。主要表现为:
一、小脑的症状:通常表现为平衡的障碍、行走不稳甚至不能行走、有时会出现肢体活动不协调、笨拙等共济失调的现象。
二、颅高压的症状:主要表现为头晕头痛、恶心呕吐、进食困难,有的会出现视力模糊。
不管是婴幼儿、学龄儿童还是青少年,如果出现以上症状,影响日常生活,应该及时就医。