医院总机:020-61650000
南方医科大学中西医结合医院
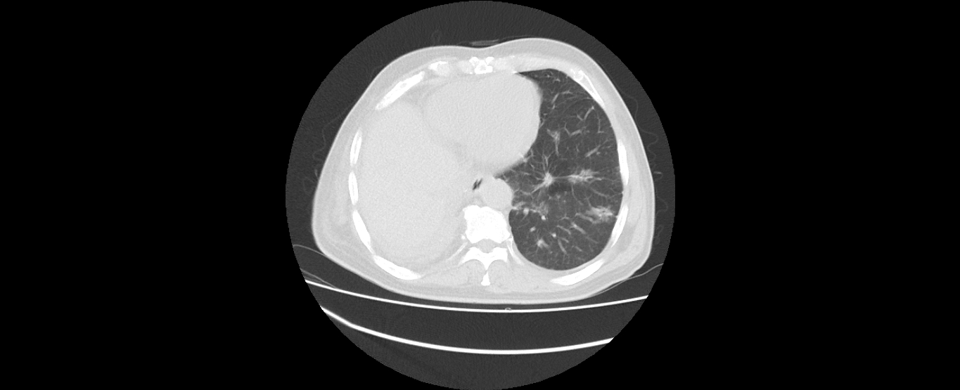
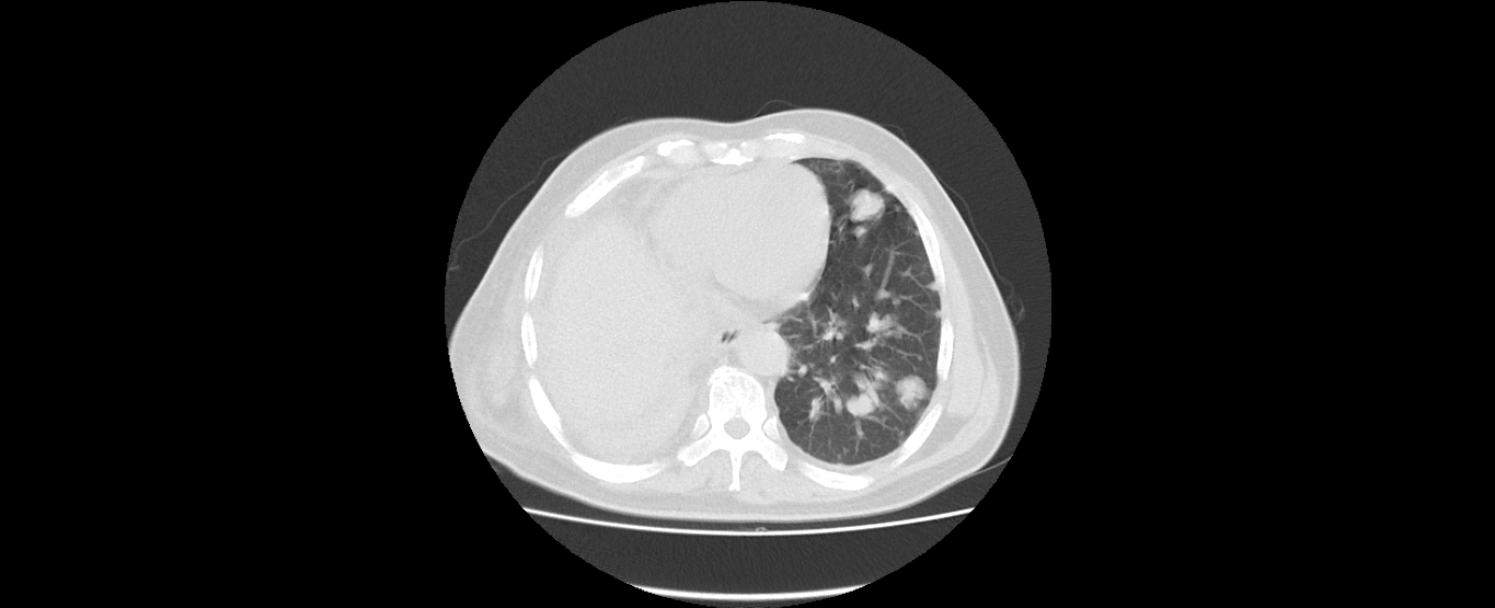
患者刘某某,男,60岁,因“右下肺中央型肺癌”2008年6月在外院行“右下肺癌根治术+右上肺部分切除术”,术后行化疗和放疗。2011年4月复查CT提示肿瘤复发,行化疗及靶向药物治疗,肿瘤控制;2016年8月新发肺转移,再次行化疗及靶向治疗,辅助中医药治疗,2017年2月复查,病情平稳。目前患者生活质量较好,没有不适症状,按时返院复查。
2016年8月
2017年2月
逐梦扬帆 共绘精彩跳绳比赛暨海珠湖健步走活动
美翻了!你见过用中药材作的画吗?
分享到微信朋友圈