医院总机:020-61650000
南方医科大学中西医结合医院
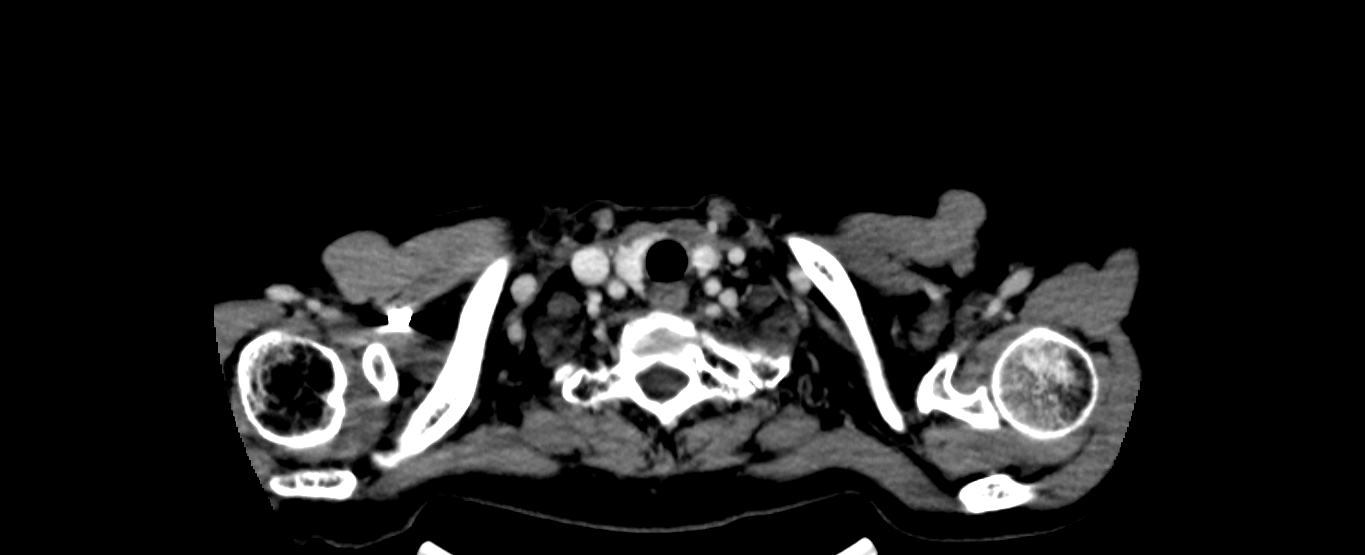
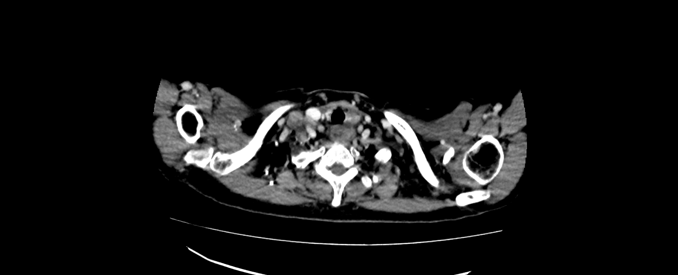
患者黄某某,女,56岁,食管中分化鳞癌患者,因吞咽困难检查发现食管癌,予以食管癌根治性调强放疗,巨大食管肿瘤消退明显,疗效良好,目前患者能够正常进食,体重逐渐恢复。
放疗前CT:
放疗后CT:
逐梦扬帆 共绘精彩跳绳比赛暨海珠湖健步走活动
美翻了!你见过用中药材作的画吗?
分享到微信朋友圈