高三学生小李在学校自习时突然昏迷抽搐,牙关紧闭,口吐白沫,双眼上翻,在当地医院检查发现海绵状血管瘤。
近日,她在南方医科大学中西医结合医院接受手术,切除了左颞叶海绵状血管瘤及与异常脑电波形有关的病变,术后3天康复出院,随访至今未再发生癫痫。目前,小李已安返学校。
脑血管瘤引癫痫发作
佛山女孩小李在读高三,去年以来,成绩优秀的她踌躇满志,备战高考。2020年11月某天,正在学习的她突然昏迷不醒,四肢抽搐,牙关紧闭,口吐白沫,双眼上翻,发作10分钟后才恢复意识,清醒后,她自己并不知道发生了什么事。
小李的父母闻悉后,带着她到医院做检查,颅脑核磁共振(MRI)发现左颞叶、脑干旁有一病变,考虑海绵状血管瘤。
因部位比较特殊,手术难度大,风险高,当地医生建议口服药物控制病情。
小李母亲不放心,陪同女儿辗转就医,后来到南方医科大学中西医结合医院神经外科寻求进一步治疗。入院后脑电图检查显示,左颞叶存在癫痫波形。

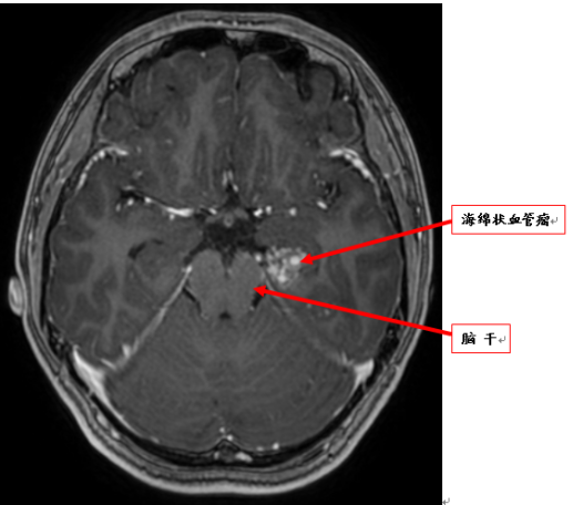
术前MRI:脑干海绵状血管瘤。
神经外科陈陆馗主任认为,小李发病时的表现是癫痫的典型症状。海绵状血管瘤引起的癫痫比较顽固,反复的癫痫发作对患者的智力、心理及生理都会带来严重的影响,手术切除海绵状血管瘤非常有必要。
经充分评估和完善术前准备后,在术中电生理监测下,陈陆馗主任为小李行海绵状血管瘤切除术,彻底切除海绵状血管瘤及与异常脑电波形有关的病变。
术后第三天,小李即下床活动,一周后康复出院。随访一个多月未再发生癫痫。目前,小李已安返学校。
手术精准切除致痫灶
癫痫选择吃药还是手术?许多患者担心药物的副作用,又对手术存在顾虑。尤其对于癫痫患儿,家长担心手术会影响孩子的智商和发育。
在小李决定接受手术之前,她的母亲也对是否做手术犹豫不决,担心开颅手术会影响考试,要求暂时药物治疗,高考结束后再手术。
对此,陈陆馗主任解释道,海绵状血管瘤容易破裂出血,而小李颅内的海绵状血管瘤位于脑干旁,一旦出血,血肿将直接压迫脑干,危及生命,因此必须尽快手术切除,以免贻误病情。
对于脑部病灶明确、能从手术明显获益的癫痫患者,专家会结合癫痫发作特点、脑电生理检查、SEEG技术、影像学检查等,确认颅内的致痫灶位置,实施外科精准切除。
术后MRI:病变完全切除。
手术将有效遏制癫痫发作,避免对患者智力、认知、生活和工作造成严重影响,也使大部分患者摆脱对抗癫痫药物的依赖,以及远离长期服药带来的一系列副作用。
陈陆馗主任提醒,癫痫患者需要注意以下事项:
一,规律服药,不能骤减或者停服药物,以免引起癫痫持续发作;
二,保证充足睡眠,避免疲劳、紧张等不良因素的刺激;
三,最好不要开车、游泳、登高、夜间独自外出等,如有发作先兆应立即卧倒,避免跌伤。
南方农村报记者 江玲 通讯员 袁淮涛 朱钦文