肚子胀大如怀孕8个月,恶心乏力,没有胃口,来自湖南的58岁王阿姨(化名)在南方医科大学中西医结合医院检查,发现自己患上了晚期肝癌,直径达13厘米的肿瘤直接压迫腹腔造成了严重腹胀,无法手术。
在家属和医生的鼓励下,王阿姨尝试接受免疫联合靶向治疗,辅助中医药治疗。经过半年的积极治疗,肝癌肿块明显缩小,活性得到抑制。目前,王阿姨能够正常进食,每天还坚持跑步半个小时。

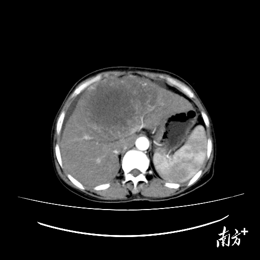
治疗前CT检查发现肿瘤直径最大13厘米。
巨块肝癌无法手术
“当时肚子胀得很大,好像怀了8个月的小孩,早上起不来,吃东西没有味道。”王阿姨回忆,当时肚子胀痛,恶心呕吐,乏力,全身状态非常差。
入院后检查结果显示,她的肝脏有一颗直径达13厘米的肿瘤,属于巨块型肝癌。由于靠近第一和第二肝门,不适宜手术治疗。
“我不想医了,回家算了。”由于家庭经济困难,确诊晚期肝癌的王阿姨一度想放弃治疗。南方医科大学中西医结合医院肝病科副主任陈逢生的一句话,给了她希望,“目前治疗肝癌的技术已进步很大,有非常多的药物和治疗手段,即使是中晚期肝癌患者,也是有机会的。”
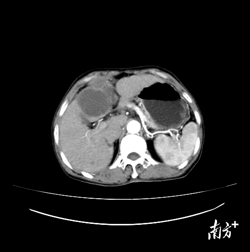
在陈逢生和家属的反复鼓励下,王阿姨尝试接受治疗免疫联合靶向治疗和辅助中医药治疗。半年后,肝癌肿块明显缩小,肿块边缘清楚,强化消退,这意味着,肿块的活性得到了明显抑制!
目前,王阿姨已经能自主活动,每天早上起来还能跑步半个小时,进食也恢复了正常。

治疗后肝癌肿块明显缩小,活性得到明显抑制。
综合治疗缩小癌肿
陈逢生表示,免疫治疗是近几年肿瘤治疗的重要进展,也为肝癌治疗打开新的一扇窗。免疫治疗联合抗血管生成的靶向药已成为目前中晚期肝癌治疗的重要手段,两者联合明显提高缩瘤率,辅以中医中药治疗,最大限度改善患者的生活质量,延长生存期。
这在王阿姨身上有了很好的体现。目前,她继续维持免疫联合靶向治疗,可等待肿瘤进一步缩小,争取手术或其他治疗方式介入。
肝癌综合治疗,能够让患者获益更多。据介绍,南方医科大学中西医结合医院肝病中心整合了介入科、肝病科、肿瘤内科的功能,除了外科手术,能够进行多种微创治疗,包括血管介入、经皮介入,超声、CT引导下消融技术,胆道、门静脉操作技术,肝硬化TIPS(经颈静脉肝内门体分流术)等,以及放射性粒子植入、靶向治疗、免疫治疗,加上中医辨证论治,减少副作用,保护肝功能,提升机体免疫。通过每个患者的个体化诊疗,实现肿瘤根治及带瘤生存。

患者恢复良好。
重视乙肝早期诊治
陈逢生指出,肝癌分为原发性和继发性。据世界卫生组织国际癌症研究机构(IARC)最新发布的《2020 全球癌症报告》,2020年全球癌症新发1930万,死亡近1000万。全球每年有90万人患肝癌,已成为全球第6大常见癌症。乙肝病毒感染、丙肝病毒感染、酒精滥用导致的肝癌死亡分别占33%、21%、30%。
我国肝癌发病的一个重要因素是乙肝。经问诊检查,王阿姨也患有乙肝多年,但她自己并不知道,此前也没做过相关检查。为有效预防乙肝向肝硬化、肝癌进展,一方面是关注乙肝两对半、肝功能、乙肝病毒定量检查等,明确是否有乙肝、乙肝病毒是否引起肝炎活动;另一个重要的方式是肝脏超声检查,这是筛查和发现早期肝癌的重要方法,而且无创、简便、经济。
另外,酗酒诱导的肝损伤也会导致肝纤维化和肝硬化,最终可能发展为肝癌。接种乙肝疫苗、少喝酒、少摄入高脂肪、高胆固醇和高油脂食物、不吃霉变食物,都是预防肝癌的有效措施。
【记者】江玲
【通讯员】朱钦文 彭逢美 张诚斌 曾利娴